Ngày 8/4, đại diện Bệnh viện Nhi đồng 1 (TPHCM) cho biết, vừa qua các bác sĩ khoa Ngoại Thần kinh đã tiếp nhận và điều trị thành công một trường hợp bệnh nhi mang khối u não nguy hiểm.
Bệnh nhi là bé T.G.K. (7 tháng tuổi, ngụ tỉnh Đồng Tháp). Khai thác bệnh sử, lúc 3 tháng tuổi, người nhà phát hiện đầu bé to dần, hay nôn ói sau bú và mắt nhìn xuống nên đưa đến khám tại Bệnh viện Nhi đồng 1.
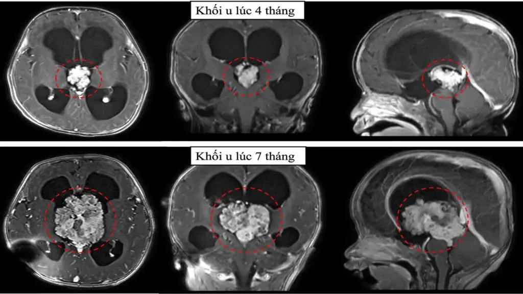
Quá trình thăm khám, bác sĩ ghi nhận bé có tình trạng tăng áp lực nội sọ, ảnh siêu âm cho thấy khối u chèn ép vùng não thất III, gây giãn não thất nặng. Tiếp tục chụp cộng hưởng từ sọ não, bệnh nhi được xác định tình trạng não úng thuỷ tắc nghẽn, với khối u nằm ở vị trí có nhiều cấu trúc thần kinh quan trọng xung quanh.
Kết quả giải phẫu bệnh xác định, bệnh nhi mang u đám rối mạch mạc không điển hình độ 2, một khối u hiếm gặp của hệ thần kinh trung ương.
Do lo lắng việc phẫu thuật lấy u gây nguy cơ cao, gia đình và bác sĩ thống nhất tiến hành đặt dẫn lưu não thất màng bụng để điều trị giảm áp lực nội sọ tạm thời, đợi một khoảng thời gian bé đủ lớn sẽ mổ lấy u.
Nhưng 3 tháng sau, khi chụp phim cộng hưởng từ sọ não, bác sĩ phát hiện khối u tăng kích thước hơn gấp 3 lần. Không thể trì hoãn thêm, ê-kíp điều trị tư vấn gia đình việc phẫu thuật mổ lấy u để cấp cứu cháu bé.
Với sự chuẩn bị chu đáo và phối hợp nhịp nhàng giữa các chuyên khoa Ngoại thần kinh, Phẫu thuật gây mê hồi sức cùng Hồi sức ngoại, ca mổ đã diễn ra an toàn trong 6 giờ đồng hồ, giúp khối u của bé được bóc tách thành công. Sau thời gian hồi sức và chăm sóc tích cực sau mổ, bé đã hồi phục và được xuất viện.
TS.BS Trần Minh Huy, khoa Ngoại Thần kinh, chia sẻ, đây là ca mổ rất khó khăn, khi khối u kích thước lớn (6cm), tăng sinh mạch máu nuôi và phát triển trong lòng não thất. Ngoài ra, với thời gian cuộc mổ kéo dài, nguy cơ mất máu nhiều trên bệnh nhi 7 tháng tuổi đòi hỏi năng lực chuyên môn và phối hợp liên chuyên khoa chặt chẽ.
“Chúng tôi đã vượt qua những thách thức để thực hiện thành công ca phẫu thuật, đưa bệnh nhi trở về lại với cuộc sống bình thường”, bác sĩ Huy nói.
Tái tạo khuyết hổng cho bệnh nhân ung thư vùng má
Các bác sĩ Bệnh viện Nguyễn Trãi (TPHCM) vừa phẫu thuật cắt khối u và tái tạo vùng khuyết hổng cho một phụ nữ mang khối u ác tính vùng má.
Theo bệnh sử, trước 2 tháng nhập viện, bà L. (63 tuổi) đã phát hiện khối cứng ở má trái, tăng dần kích thước theo thời gian và gây đau nhẹ khi ăn nhai. Vì nghĩ là viêm loét thông thường, bà không đi khám sớm, mà chỉ đợi khi tổn thương không cải thiện mới vào Bệnh viện Nguyễn Trãi kiểm tra.
Dựa trên kết quả khám lâm sàng và chẩn đoán hình ảnh, bệnh nhân được xác định ung thư niêm mạc má trái giai đoạn 3. Do khối u xâm lấn sâu, nguy cơ ảnh hưởng chức năng ăn nhai và nuốt sau mổ, bệnh nhân được tư vấn kỹ về phương pháp phẫu thuật và nguy cơ biến chứng.
Song song đó, bà cũng được mở thông dạ dày để nuôi ăn trước mổ, nhằm đảm bảo dinh dưỡng và chuẩn bị thể trạng tốt nhất.
Sau khi cắt rộng khối u và nạo hạch cổ trái, ê-kíp điều trị tiếp tục mổ tái tạo khuyết hổng bằng vạt đảo dưới cằm. Đây là kỹ thuật đòi hỏi các bác sĩ phải kiểm soát toàn diện để đáp ứng an toàn, đồng thời đảm bảo tái tạo mô mềm giúp phục hồi chức năng và thẩm mỹ.
Hậu phẫu, bệnh nhân diễn tiến thuận lợi, vết thương lành tốt và xuất viện sau 5 ngày chăm sóc.
Các bác sĩ khuyến cáo, ung thư niêm mạc má thường khởi phát bằng những tổn thương nhỏ, dễ nhầm với loét miệng thông thường. Người dân cần đi khám ngay khi có các dấu hiệu loét miệng kéo dài trên 2 tuần không lành; có khối cứng vùng má, lưỡi hoặc sàn miệng; chảy máu bất thường trong khoang miệng.
“Người trên 40 tuổi, có tiền sử hút thuốc, uống rượu nên khám và tầm soát định kỳ để phát hiện bệnh ở giai đoạn sớm, giúp nâng cao hiệu quả điều trị và chất lượng sống”, bác sĩ hướng dẫn.
Chuyên gia Sarah Garone, huấn luyện viên dinh dưỡng, thành viên của Học viện Dinh dưỡng và Chế độ ăn uống của Mỹ, cho biết axit béo omega-3 là một loại chất béo không bão hòa, rất cần thiết cho cơ thể, nhưng cơ thể không thể tự sản xuất được. Chất này nổi tiếng với lợi ích cho tim mạch và nhận thức, nhưng chúng cũng giúp cải thiện tâm trạng của bạn, theo trang tin sức khỏe Health.
Một số nghiên cứu cho thấy omega-3 có thể cải thiện tâm trạng, đặc biệt là với người bị trầm cảm.
Chuyên gia dinh dưỡng và trị liệu Aleta Storch, người sáng lập Trung tâm Dinh dưỡng Wise Heart Nutrition (Mỹ), dẫn một nghiên cứu năm 2023 cho thấy những người bị trầm cảm nhẹ hoặc trung bình, kết hợp omega-3 cùng với thuốc trầm cảm đã giúp tăng hiệu quả của thuốc lên vượt trội, giúp giảm đáng kể các triệu chứng trầm cảm. Một đánh giá năm 2021 về 35 nghiên cứu đã kết luận omega-3 có thể mang lại lợi ích cho bệnh trầm cảm.
Tiến sĩ - bác sĩ theo Pat F. Bass III, đang làm việc tại Mỹ, cho biết dầu cá omega-3 với 2 thành phần chính là EPA và DHA; bằng chứng cho thấy EPA mang lại nhiều lợi ích hơn so với DHA. Bác sĩ theo Pat F. Bass III dẫn một phân tích tổng hợp năm 2019 cho thấy sự cải thiện lớn nhất khi những người bị trầm cảm dùng dầu cá omega-3 có chứa hàm lượng EPA từ 60% trở lên, theo Health.
Tiến sĩ Lina Begdache, chuyên nghiên cứu sức khỏe và thể chất tại Đại học Binghamton, New York (Mỹ), giải thích: Omega-3 tác động đến não bộ theo nhiều cách, từ giảm viêm cho đến điều chỉnh các chất hóa học trong não. Omega-3 giúp giảm viêm trong não và toàn thân, mức độ viêm cao có liên quan đến trầm cảm. Viên uống bổ sung này cũng có thể giúp điều chỉnh các chất hóa học tạo cảm giác dễ chịu như serotonin, dopamine và norepinephrine, thúc đẩy sự phát triển của tế bào thần kinh.
Tuy nhiên, các chuyên gia cảnh báo để đạt hiệu quả chổng trầm cảm cao nhất, vẫn nên kết hợp omega-3 với các liệu pháp trị liệu khác. Đồng thời, trước khi bắt đầu sử dụng omega-3 thường xuyên, cần tham khảo ý kiến bác sĩ.
Theo ThS.BS Ngô Văn Tân, Bệnh viện Đại học Y Dược TP HCM - Cơ sở 3, những năm gần đây các đợt nắng nóng cực đoan với nhiệt độ trên 37-38 độ C xuất hiện thường xuyên hơn. Trong bối cảnh này, quan niệm "uống nhiều nước là đủ" chưa phản ánh hết tính phức tạp của việc bảo vệ sức khỏe, đặc biệt là chức năng thận.
Mối nguy sỏi thận từ thời tiết khắc nghiệt
Thận đóng vai trò lọc máu, đào thải chất cặn bã và cân bằng điện giải. Khi trời nóng, cơ thể mất nước chủ yếu qua mồ hôi.
Nếu không được bù nước đúng cách, nước tiểu sẽ bị cô đặc khiến các khoáng chất như canxi, oxalat hoặc acid uric dễ kết tinh thành sỏi. Đây là lý do vì sao tỷ lệ người mắc sỏi thận thường tăng cao trong mùa hè, kể cả với những người chưa từng có tiền sử bệnh lý về thận.
Những sai lầm khi bù nước: Lợi bất cập hại
Uống nước là cần thiết, nhưng uống "sai cách" lại tiềm ẩn nhiều rủi ro:
Uống dồn dập một lúc: Nhiều người có thói quen uống một lượng lớn nước ngay sau khi đi nắng hoặc vận động mạnh. Việc này làm loãng nhanh nồng độ muối trong máu, gây rối loạn điện giải với các triệu chứng mệt mỏi, đau đầu, thậm chí chóng mặt.
Lạm dụng nước ngọt và nước tăng lực: Đồ uống có gas, chứa nhiều đường hoặc muối khoáng quá mức không những không bảo vệ thận mà còn làm tăng gánh nặng chuyển hóa, thúc đẩy quá trình hình thành sỏi.
Lời khuyên: Chia nhỏ lượng nước, uống đều đặn nhiều lần trong ngày ngay cả khi chưa thấy khát. Nước lọc vẫn là lựa chọn tối ưu. Người lao động cường độ cao có thể bổ sung nước điện giải ở mức vừa phải.
Nguy cơ từ thói quen "giải nhiệt" tức thì
Tắm nước lạnh ngay sau khi đi nắng là thói quen của nhiều người nhưng lại tiềm ẩn rủi ro lớn. Khi cơ thể đang nóng, mạch máu giãn rộng, việc tiếp xúc đột ngột với nước lạnh gây co mạch nhanh, làm rối loạn tuần hoàn tạm thời.
Dù không trực tiếp gây bệnh thận, tình trạng này lặp lại thường xuyên có thể ảnh hưởng đến cung cấp máu cho các cơ quan, đặc biệt nguy hiểm với người lớn tuổi hoặc người có bệnh lý tim mạch.
Dấu hiệu cảnh báo thận đang "kêu cứu"
Những tín hiệu sớm từ cơ thể trong mùa nóng:
Nước tiểu sẫm màu, mùi nồng, lượng nước tiểu ít.
Cảm giác tiểu rát nhẹ.
Khát nước liên tục kèm mệt mỏi.
Đau âm ỉ vùng hông hoặc thắt lưng.
Phòng bệnh theo nguyên tắc "Thanh nhiệt - Sinh tân"
Dưới góc nhìn y học cổ truyền, mùa hè thuộc hành Hỏa, dễ làm hao tổn tân dịch. Để bảo vệ sức khỏe, bác sĩ Ngô Văn Tân khuyến nghị:
Chế độ uống: Uống nước đều đặn, ưu tiên nước lọc, hạn chế chất kích thích và đồ uống quá nhiều đường.
Chế độ ăn: Tăng cường rau xanh, trái cây thanh mát để hỗ trợ thanh nhiệt và sinh tân dịch.
Sinh hoạt: Tuyệt đối không tắm lạnh ngay sau khi vận động mạnh hoặc vừa ngoài nắng về.
Theo dõi: Chú ý quan sát những thay đổi bất thường của nước tiểu và các cơn đau vùng lưng.
Nắng nóng có thể chỉ là cảm giác khó chịu nhất thời, nhưng những tác động âm thầm lên thận và hệ chuyển hóa có thể để lại hậu quả dài hạn. Hiểu đúng và thực hành phòng ngừa đúng là cách đơn giản nhất để bảo vệ bản thân trước sự khắc nghiệt của thời tiết.
Nếu chỉ được chọn một loại nước trong ngày nắng nóng, thì nước dừa tươi chính là lựa chọn khoa học và toàn diện nhất, theo Cleveland Clinic (Mỹ).
Tiến sĩ - bác sĩ Alice Gallo De Moraes, chuyên khoa nội tiết tại Cleveland Clinic, cho biết: Nước dừa không chỉ bù nước nhanh chóng, mà còn chứa khoáng chất tự nhiên như kali, magie và natri - giúp duy trì cân bằng điện giải, ngăn chuột rút, mệt mỏi hay đau đầu do nhiệt. Đây là yếu tố quan trọng khi cơ thể bị mất nước nhanh trong những ngày nắng nóng.
Ngoài ra, nước dừa còn có hàm lượng đường tự nhiên vừa phải, giúp cung cấp năng lượng nhẹ mà không gây tăng đường huyết đột ngột như các loại nước ngọt hay nước ép công nghiệp. Những người bổ sung nước dừa tươi thường thấy tinh thần sảng khoái, tập trung cao hơn khi làm việc hoặc học tập dưới thời tiết nóng bức, theo Harvard Health Publishing (Mỹ).
Một ưu điểm khác mà các chuyên gia nhấn mạnh là tác dụng thanh nhiệt từ bên trong. Nước dừa chứa các enzyme tự nhiên, vitamin nhóm B và vitamin C, giúp hạ nhiệt cơ thể, hỗ trợ tiêu hóa và chống stress do nóng bức. Chính vì vậy, đây là loại nước giải nhiệt vừa cung cấp nước, khoáng chất và dưỡng chất, vừa tiện lợi, dễ uống.
Bác sĩ Michael Jensen, chuyên gia dinh dưỡng tại Mayo Clinic (Mỹ), bổ sung thêm: Chất điện giải trong nước dừa hỗ trợ cơ thể điều chỉnh lượng muối và nước, đặc biệt quan trọng cho những người lao động ngoài trời hoặc vận động nhiều trong nắng nóng.
Một điểm cộng khác mà nhiều người ít biết là nước dừa hỗ trợ giảm huyết áp và tốt cho tim mạch nhờ hàm lượng kali tự nhiên. Ngoài ra, nước dừa còn chứa axit lauric, một chất có khả năng hỗ trợ chống vi khuẩn, kháng viêm nhẹ và duy trì sức khỏe tiêu hóa, theo Mayo Clinic.
Tiến sĩ - bác sĩ Alice Gallo De Moraes lưu ý: Khi chọn nước dừa, hãy ưu tiên loại tươi, tránh các loại chế biến sẵn có thêm đường, hương liệu hoặc chất bảo quản. Có thể kết hợp thêm vài lát chanh hoặc lá bạc hà để tăng hương vị và hiệu quả làm mát.
Nếu bạn chỉ được chọn một loại nước để giải nhiệt mùa nắng nóng, nước dừa tươi là lựa chọn hàng đầu, vừa cấp nước, bổ sung khoáng chất, vừa thanh nhiệt và giúp tinh thần phấn chấn.